
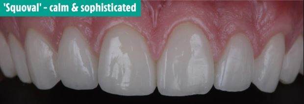
در حالی که ممکن است بیشتر عادت داشته باشید که از یک تکنسین ناخن مدل اسکوال برای ناخن هایتان بخواهید، باید بدانید که اسکوال، شکل دندانی رایج است. اسکوال دارای گوشه های گرد با نمود مربع است و برای اکثر شخصیت ها مناسب است و به عنوان یک شکل ایمن برای دندان ها در نظر گرفته می شود.
با در نظر گرفتن نیمرخ صورت اکثر افراد، ما به طور متوسط زوایای تیز را در زاویه فک پایین، استخوان های بالای گونه و پیشانی تشخیص می دهیم. این زوایا به دلیل ماهیت، شکل و سطح چربی درون پوستی که روی ساختار استخوانی قرار دارد، نرم میشوند. دندانهای اسکوال میتوانند ویژگیهایی مانند پیچیدگی، آرامش و مهربانی را نشان دهند.

اگر دندانهای بیضی دارید، یعنی دندان های زنانهتری دارید و یا نشان از جوانی شماست. از نظر زیبایی، ویژگی های گرد صورت مناسب دندان های گرد یا بیضی شکل است. دندان های بیضی شکل شخصیتی بی خیال، مثبت و برونگرا را القا می کنند.

دندانهای مربعی در مقایسه با دندانهای بیضی در انتهای مخالف طیف قرار دارند و لبهها با گوشههای تیز صافتر هستند. آنها نمایانگر دندانهای مردانه و قدیمیتری هستند و با گذشت زمان تقریباً همه دندانها به شکل مربعی در میآیند. داشتن دندانهای مربعی لزوماً چیز بدی نیست، اما با افزایش سن، دچار ساییدگی بیشتر می شوند. ویژگی های شخصیتی افراد با دندان مربعی، می تواند جدیت، بلوغ و کارایی باشد.

اگر دندانهایی دارید که زیاد به سمت بیرون است، میتواند یک ویژگی تعیینکننده باشد. دندان های مثلثی با تسلط، خلاقیت، حرکت، تفکر آزاد و دمدمی مزاج بودن مرتبط است.
البته تک تک دندان ها نیز ممکن است شکل خاص خود را داشته باشند و برخی از افراد ممکن است دندان نیش نوک تیزتری داشته باشند. این افراد معمولاً با صفات مردانه، قدرت و پرخاشگری بیشتری شناخته می شوند.
موارد دیگری که باید به آن توجه کرد، لکه های سفید روی دندان است که می تواند به دندان ها شخصیت بدهد و باز بودن، مهربانی و خلاقیت را نشان دهد. بسیاری از افراد نیز در اثر ساییدگی طبیعی، لبه های ناهمواری روی دندان های خود خواهند داشت. ویژگیهای نامتقارن مانند دندانهای شکسته یا ترکخورده میتوانند بینظمی، کاهش هوش و همچنین خلاقیت و برونگرایی را نشان دهند.
منبع: روزیتو